Дефект межпредсердной перегородки

Различают вторичный и первичный дефект.

Вторичный локализуется в области овального окна и проявляется дефицитом структуры в отличии от открытого овального окна. Этот вариант порока составляет 70% от всех типов ДМПП (рис.74).

Вторичный дефект межпредсердной перегородки.

Рис.74.

Вторичный дефект
межпредсердной
перегородки (схема).
Первичный дефект локализуется в области центрального фиброзного тела, составляет 20% от всех типов ДМПП и часто сочетается с полной или частичной формой открытого атриовентрикулярного канала. Дефект венозного синуса составляет 2-4% от всех ДМПП и локализуется в области соединения межпредсердной перегородки с верхней полой веной, часто сочетается с аномалиями легочных вен.

Одномерная ЭхоКГ:

  1. Дилатация правого желудочка.
  2. Объемная перегрузка правого желудочка.
  3. Увеличение экскурсии передней створки трикуспидального клапана.
  4. Парадоксальное (А, В типы) движение межжелудочковой перегородки.
  5. Преждевременное открытие клапана легочной артерии.
  6. Диастолическое трепетание передней створки трикуспидального клапана

Двухмерная ЭхоКГ:

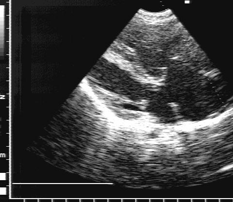
Прямая визуализация дефекта (рис.75).

  1. Вторичный дефект проявляется дефицитом структуры в области овального окна.
Вторичный дефект межпредсердной перегородки.

Рис.75.

Вторичный дефект
межпредсердной
перегородки.

  1. Первичный ДМПП - визуализируется в проекции 4-х камер с верхушки или из субкостального доступа в области центрального фиброзного тела-место соединения межпредсердной перегородки с межжелудочковой перегородкой (рис.76).
Первичный дефект межпредсердной перегородки.

Рис.76.

Первичный дефект
межпредсердной
перегородки.

  1. Дефект венозного синуса - прямая визуализация дефекта из субкостального доступа проксимально впадению верхней полой вены в правое предсердие.

Допплер-ЭхоКГ:

  1. Наличие турбулентного потока крови через перегородку в позднюю систолу или диастолу.
  2. Оценка легочного кровотока.

Дифференциальный диагноз:

  1. При допплер-ЭхоКГ необходимо дифференцировать нормальный поток в верхней полой вене от шунтового через дефект.
  2. Открытый атриовентрикулярный канал.
  3. Аномалия Эбштейна (при этом пороке дефект межпредсердной перегородки или открытое овальное окно определяются в 85% случаев).
  4. Триада Фалло.

Открытый атриовентрикулярный канал

Выделяют 4 формы открытого атриовентрикулярного канала (АВК):

1) частично открытый АВК (неполная форма);
2) косой атриовентрикулярный канал - левожелудочковое правопредсердное сообщение;
3) общий открытый АВК (полная форма);
4) общее предсердие.

Частично открытый атриовентрикулярный канал

Представляет собой первичный ДМПП с расщеплением передней митральной створки.

Одномерная ЭхоКГ:

  1. Объемная перегрузка правого желудочка (дилатация правых отделов сердца, парадоксальное движение межжелудочковой перегородки) (рис.77).
Частично открытый атриовентрикулярный канал.

Рис.77

Частично открытый
атриовентрикулярный
канал в одномерном
эхоКГ, объемная
перегрузка правого
желудочка.
Парадоксальное дви-
жение МЖП,
тип А.

  1. Нарушение кинетики передней митральной створки: во время диастолы она как бы "прилипает" к межжелудочковой перегородке.
  2. Сужение выходного тракта левого желудочка.
  3. Дополнительные эхосигналы в выходном тракте левого желудочка.
  4. Одновременная визуализация двух атриовентрикулярных клапанов с разделяющей их межжелудочковой перегородкой.

Двухмерная ЭхоКГ:

  1. Прямая визуализация первичного дефекта межпредсердной перегородки в области центрального фиброзного тела в проекции 4-x камер с верхушки (рис.79).
  2. Прямая визуализация расщепления створки в короткой оси на уровне митрального кольца на медиальную и латеральную порции (расщепление обычно эксцентричное, ближе к медиальной комиссуре, рис.78).

    Частично открытый атриовентрикулярный канал:
прямая визуализация первичного дефекта межпредсердной перегородки
и расщепления передней митральной створки.

    Рис.78.

    Частично открытый
    атриовентрикулярный
    канал: прямая
    визуализация
    первичного дефекта
    межпредсердной
    перегородки и
    расщепления передней
    митральной створки.

      Частично-открытый атриовентрикулярный канал: первичный ДМПП с
расщеплением передней митральной створки в двухмерной ЗхоКГ.

    Рис.79.

    Частично-открытый
    атриовентрикулярный
    канал:
    первичный ДМПП с
    расщеплением
    передней митральной
    створки в двухмерной
    ЭхоКГ.

  3. Нормальные размеры и положение атриовентрикулярного кольца.
  4. Отщепленная порция створки движется в сторону выходного тракта левого желудочка в парастернальной продольной оси.
  5. Интактная межжелудочковая перегородка.

Допплер-ЭхоКГ:

  1. Регистрация регургитантного потока в левом предсердии (см недостаточность митрального клапана).
  2. Выявление турбулентного потока через дефект межпредсердной перегородки.
  3. Оценка степени легочной гипертензии.
  4. Выявление сопутствующих аномалий (в 30% случаев встречаются аномалии полых вен, открытый артериальный проток).

Дифференциальный диагноз:

  1. Врожденная митральная недостаточность (см).
  2. Вторичный ДМПП в сочетании с недостаточностью митрального клапана (ревматической этиологии или при инфекционном эндокардите).

Примечание. Нередко порок сочетается с синдромом Дауна.

Общий открытый атриовентрикулярный канал

Включает первичный ДМПП, высоко расположенный ДМЖП, расщепление митральной и трикуспидальной створок (рис.80).

Общий открытый АВК.

Рис.80.

Общий открытый
АВК (полная форма).

 

ЭхоКГ критерии

Одномерная ЭхоКГ:

  1. Объемная перегрузка правого желудочка (дилатация правых отделов сердца, парадоксальное движение межжелудочковой перегородки).
  2. Нарушение кинетики передней митральной створки: во время диастолы она как бы прилипает к межжелудочковой перегородке или пересекает ее.
  3. Сужение выходного тракта левого желудочка.
  4. Дополнительные эхосигналы в выходном тракте левого желудочка.
  5. Одновременная визуализация двух атриовентрикулярных клапанов с разделяющей их межжелудочковой перегородкой.

Двухмерная ЭхоКГ:

  1. Прямая визуализация первичного дефекта межпредсердной перегородки в области центрального фиброзного тела в проекции 4-х камер с верхушки.
  2. Прямая визуализация дефекта межжелудочковой перегородки в области центрального фиброзного тела.
  3. Прямая визуализация расщепления передней митральной створки в короткой оси на уровне митрального кольца на медиальную и латеральную порции (расщепление обычно эксцентричное, ближе к медиальной комиссуре); расщепление септальной трикуспидальной створки (при наличии двух атриовентрикулярных клапанов).
  4. Общая атриовентрикулярная створка, пересекающая межжелудочковую перегородку (при наличии одного атриовентрикулярного клапана).
  5. Отщепленная порция передней митральной створки движется в сторону выходного тракта левого желудочка в парастернальной продольной оси.
  6. Сужение выходного тракта левого желудочка.
  7. Выявление сопутствующих аномалий (стеноз легочной артерии).

Допплер-ЭхоКГ:

  1. Регистрация регургитантного потока в левом предсердии (см недостаточность митрального клапана).
  2. Выявление турбулентного потока через дефект межпредсердной перегородки.
  3. Выявление лево-правого сброса на уровне межжелудочковой перегородки.
  4. Наличие трикуспидальной регургитации.
  5. Оценка степени легочной гипертензии.

Дифференциальный диагноз:

  1. ДМЖП с явлениями легочной гипертензии и застойной сердечной недостаточности.
  2. Двухкамерное сердце.

Левожелудочково-правопредсердное сообщение (косой АВК)

Различают надклапанный (дефект атриовентрикулярной перегородки непосредственно над перегородочной створкой трикуспидального клапана) и подклапанный (дефект атриовентрикулярной перегородки в сочетании с отверстием в септальной створке трикуспидального клапана) варианты косого канала.

ЭхоКГ критерии

Одномерная ЭхоКГ:

  1. Дилатация левого желудочка.
  2. Объемная перегрузка правых отделов сердца (дилатация правого желудочка, парадоксальное движение межжелудочковой перегородки).
  3. Дилатация правого предсердия.
  4. Диастолическое трепетание трикуспидального клапана.

Двухмерная ЭхоКГ:

  1. Прямая визуализация сообщения левого желудочка с правым предсердием в проекции 4-х камер с верхушки.
  2. Признаки аномального строения септальной створки трикуспидального клапана.
  3. Выявление сопутствующих аномалий (в 30% случаев встречаются ДМПП, надклапанный стеноз аорты).

Допплер-ЭхоКГ:

  1. Регистрация трикуспидальной недостаточности.
  2. Наличие систолического турбулентного потока в области предполагаемого дефекта атриовентрикулярной перегородки.

Дифференциальный диагноз:

  1. Частично открытый АВК.
  2. ДМЖП с легочной гипертензией.

Дефект межжелудочковой перегородки

Различают:

1) перимембранозные (трабекулярные, приточные, отточные, рис.81);
2) подартериальные отточные (рис.83);
3) мышечные (приточные, трабекулярные отточные) варианты дефектов межжелудочковой перегородки.

Перимембранозный дефект межжелудочковой перегородки.

Рис.81.

Перимембранозный
дефект
межжелудочковой
перегородки (схема).

Перимембранозный дефект межжелудочковой перегородки.

Рис.82.

Перимембранозный
дефект
межжелудочковой
перегородки:
в одномерном
исследовании виден
перерыв эхосигнала
от перегородки
(нарушение переднего
аорто-септального
контакта).

 

Одномерная ЭхоКГ:

  1. Дилатация левого желудочка.
  2. Объемная перегрузка левого желудочка.
  3. Гиперкинезия стенок левого желудочка.
  4. Отсутствие переднего продолжения (при больших отточных дефектах) (рис.82).
  5. Трепетание передней створки митрального клапана.
  6. Увеличение экскурсии задней стенки левого желудочка.
  7. Одновременная визуализация двух атриовентрикулярных клапанов (при наличии легочной гипертензии).
  8. Дилатация правого желудочка (при возникновении легочной гипертензии).

Подартериальный отточный дефект межжелудочковой перегородки.

Рис.83.

Подартериальный
отточный дефект
межжелудочковой
перегородки.

 

Двухмерная ЭхоКГ:

  1. Прямая визуализация размера и расположения дефекта (рис.84):
    • А. Мембранозный дефект выявляют из субксифоидальной области в проекции длинной оси левого желудочка, либо из парастернального доступа в поперечном сечении на уровне выходного тракта левого желудочка.
    • Б. Приточный дефект выявляют из парастернальной позиции в проекции поперечной оси левого желудочка или в проекции 4-х камер с верхушки.
    • В. Отточный дефект выявляют из парастернальной позиции в проекции продольной оси левого или правого желудочка.

  2. Выявление сопутствующих аномалий:
  1. Дефект межпредсердной перегородки (в 20%).
  2. Врожденная недостаточность митрального клапана.
  3. Открытый артериальный проток (в 20%).
  4. Стеноз аорты (в 5%).
  5. Пролапс митрального клапана.
  1. Выявление осложнений течения порока:
  1. Аортальная недостаточность (часто связана с подаортальным дефектом).
  2. Легочная гипертензия (синдром или реакция Эйзенменгера).
  3. Инфекционный эндокардит.

Допплер-ЭхоКГ:

  1. Идентификация лево-правого шунта (турбулентный поток крови в правом желудочке в предполагаемой области дефекта, рис.85).
  2. Оценка левожелудочково-правожелудочкового градиента, и конечно-диастолического давления в правом желудочке (Р пж = ДАД-Р).
  3. Оценка степени тяжести легочной гипертензии.

Приточный дефект межжелудочковой перегородки по двухмерной ЭхоКГ.

Рис.84.

Приточный дефект
межжелудочковой
перегородки по
двухмерной ЭхоКГ.

  Приточный дефект межжелудочковой перегородки по допплер-ЭхоКГ.

Рис.85.

Приточный дефект
межжелудочковой
перегородки по
допплер-ЭхоКГ.

 

Дифференциальный диагноз:

  1. Открытый артериальный проток.
  2. Недостаточность митрального клапана (небольшой ДМЖП от митральной недостаточности дифференцируют с помощью допплер-ЭхоКГ).
  3. ДМЖП как компонент сложного порока сердца.
  4. Единственный желудочек.
  5. Дефект аортолегочной перегородки.

Стадии нарушения гемодинамики при ДМЖП в сочетании с аортальной недостаточностью (двухмерная ЭхоКГ + допплер ЭхоКГ):

I. Створка аортального клапана (чаще правая коронарная) провисает в выходной тракт левого желудочка, аортальная регургитация (+) или (++), сброс крови через ДМЖП значительный.

II. Створка аортального клапана частично прикрывает ДМЖП, аортальная регургитация (++) или (+++), сброс через ДМЖП значительный.

III. Створка аортального клапана почти полностью прикрывает ДМЖП, аортальная регургитация (+++) или (++++), артериовенозный сброс через ДМЖП незначительный. Если аортальная створка провисает в полость правого желудочка может возникнуть обструкция его выходного тракта.

Аневризма мембранозной части межжелудочковой перегородки

ДМЖП. Аневризма мембранозной части межжелудочковой перегородки.

Рис.86.

ДМЖП. Аневризма
мембранозной части
межжелудочковой
перегородки.
Может быть изолированной или сочетаться с другими ВПС (ДМЖП, аортальная недостаточость, коарктация аорты, открытый артериальный проток), а также возникает после спонтанного закрытия дефекта.

Одномерная ЭхоКГ:

  1. Дополнительные эхосигналы в выходном тракте правого желудочка от межжелудочковой перегородки в систолу, исчезающие в диастолу. При аневризме образовавшейся после спонтанного закрытия ДМЖП дополнительные эхосигналы определяются в полости правого желудочка.
  2. Нарушение переднего (аортосептального) продолжения.
  3. Диастолическое трепетание передней створки митрального клапана.

Двухмерная ЭхоКГ:

  1. Выбухание контура перегородки в сторону правого желудочка усиливающееся в систолу.
  2. Истончение стенки перегородки в области аневризмы.
  3. Изменение кинетики септальной створки трикуспидального клапана (аневризма обычно находится под септальной створкой).
  4. Выявление сопутствующих врожденных аномалий.

Допплер ЭхоКГ:

  1. Определение или исключение лево-правого сброса в области аневризмы.
  2. Оценка функции трикуспидального клапана (относительная недостаточность клапана наблюдается в 60% случаев).
  3. Выявление обструкции выходного тракта правого желудочка.
  4. Выявление сопутствующих внутрисердечных аномалий.